Kiến thức tổng hợp ung thư
Hướng dẫn trực quan về ung thư cổ tử cung
Ung thư cổ tử cung xảy ra khi các tế bào bất thường phát triển và lan rộng ở cổ tử cung. Hầu hết các trường hợp mắc bệnh này là do virus HPV. Nếu phát hiện sớm, bệnh có khả năng chữa khỏi...
Hướng dẫn đầy đủ về ung thư não
Giống như các bộ phận khác của cơ thể, não cũng có thể có khối u, xảy ra khi các tế bào phát triển mất kiểm soát và tạo thành một khối rắn. Bởi vì não có...
Hướng dẫn bằng hình ảnh về ung thư vú ở nam giới
Cả nam và nữ đều có thể mắc ung thư vú với tỉ đàn ông mắc ung thư vú thấp, chỉ dưới 1%. Thực tế, nam giới thường ít chú ý đến các thay đổi bất thường ở vú và thường được...
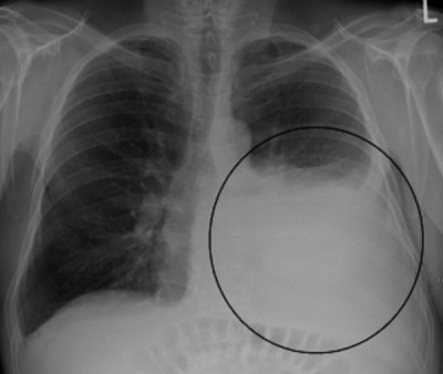
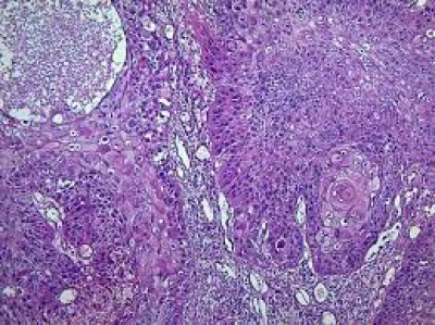
Hướng dẫn bằng hình ảnh về ung thư biểu mô tế bào nhú tử cung
Ung thư biểu mô tế bào nhú tử cung (UPSC) là một dạng ung thư nội mạc tử cung hiếm gặp, chỉ xảy ra ở khoảng 10% các trường hợp mắc ung thư tử cung. Bệnh có thể lây lan nhanh, tái phát trở lại...
Hôn mê hạ đường huyết ở bệnh nhân ung thư
Hạ đường huyết dưới 3 mmol/ l thường đi kèm theo các triệu chứng rối loạn thần kinh, thậm chí có thể dẫn đến thay đổi trạng thái ý thức bao gồm cả hôn mê. Trên...
Hồi phục sức khỏe sau điều trị ung thư
Những bệnh nhân mắc ung thư mặc dù đã được điều trị sau đó thành công nhưng việc phục hồi để quay lại với cuộc sống thường nhật là một quá trình lâu dài. Để có thể hồi phục...
Hội chứng xơ hóa bức xạ trong ung thư đầu cổ
Xạ trị ung thư đầu cổ khiến các mô mềm bình thường của hàm, mặt, cổ họng tiếp xúc với bức xạ có thể dẫn đến tổn thương mô nên được gọi là xơ hóa bức xạ. Các dấu hiệu và...
Hội chứng ly giải u là gì và có nguy hiểm không
Một trong những tác dụng phụ của quá trình điều trị ung thư ban đầu có thể gặp là hội chứng ly giải khối u. Hội chứng ly giải u rất nguy hiểm vì có thể làm tổn thương các cơ quan quan trọng,...
Hóa trị trong điều trị ung thư cổ tử cung
Hóa trị là phương pháp tiêm tĩnh mạch hoặc uống các loại thuốc chống ung thư để chúng đi vào máu và tiêu diệt tế bào ung thư ở hầu hết các bộ phận cơ thể. Không phải...
Ho ra máu do ung thư
Ho ra máu là tình trạng khạc ra máu trong và sau khi ho, máu ra ngoài bằng đường miệng hoặc mũi do tổn thương từ thanh quản trở xuống. Chẩn đoán ho ra máu do ung thư thường đơn giản, tuy...
Hiểu về ung thư giai đoạn tiến xa, di căn và di căn xương
Khi ung thư tại một cơ quan xâm lấn hoặc di chuyển đến các cơ quan hoặc các vùng khác của cơ thể, khi đó bệnh được đánh giá là giai đoạn tiến xa và di căn. Bài viết dưới...
Hiệu quả của hóa trị bổ trợ trong điều trị ung thư dạ dày
Hiệu quả của hóa trị bổ trợ sau phẫu thuật cắt bỏ dạ dày triệt căn ở bệnh nhân ung thư dạ dày ngày càng rõ ràng, mặc dù không có sự đồng thuận để ra một phương thức tiếp cận tốt...
Hiệu quả của hóa chất Pemetrexed trong điều trị ung thư phổi không tế bào nhỏ giai đoạn muộn
Ở Việt Nam, phần lớn ca ung thư phổi được phát hiện muộn nên hiệu quả điều trị còn khá thấp. Những năm gần đây, hóa chất Pemetrexed trong điều trị ung thư phổi không tế bào nhỏ giai đoạn muộn đã đem lại nhiều kết quả...
Hiểu đúng về sống sót sau ung thư
Sống sót sau điều trị ung thư là minh chứng cho những người luôn can đảm và đầy nghị lực cố gắng vượt qua nghịch cảnh trong cuộc sống. Việc điều trị khỏi hoặc tình trạng bệnh thuyên giảm là quả ngọt xứng...
Hiểu biết về viêm phổi với ung thư phổi
Viêm phổi là một bệnh nhiễm trùng phổi phổ biến. Nguyên nhân có thể do vi khuẩn, vi rút hoặc nấm. Nếu bị ung thư phổi, bạn sẽ có nguy cơ cao mắc bệnh viêm phổi. Bài viết này...
Hệ vi sinh vật trong miệng và ung thư tuyến tụy
Ung thư tuyến tụy hoặc ung thư biểu mô tuyến tụy (PDAC) là một căn bệnh gây chết người với tỷ lệ sống sót sau 5 năm khoảng 6%. Theo đó, hệ vi sinh vật trong miệng hoặc phân có thể là một dấu ấn sinh...
Hệ thống miễn dịch tác động tới tế bào ung thư như thế nào?
Hệ thống miễn dịch của con người bao gồm hệ bạch huyết, tủy xương, lá lách và tuyến ức. Chúng sản xuất hoặc lưu hành các tế bào miễn dịch chuyên biệt. Vai trò của hệ thống miễn dịch là...
Giữ được bầu ngực khi điều trị ung thư vú
Các phương pháp phẫu thuật ung thư vú có thể sẽ để lại biến chứng nặng nề như: Sẹo dài co rút, mất một bên...
Giảm cân không rõ nguyên nhân và ung thư: Khi nào cần lo lắng?
Giảm cân nhanh không rõ nguyên nhân có thể là dấu hiệu đầu tiên cảnh báo ung thư. Tuy nhiên, nó cũng là biểu hiện của nhiều bệnh lý khác phổ biến hơn ung thư. Do...
Giảm cân do ung thư vì sao diễn ra nhanh
Trong quá trình điều trị ung thư, cân nặng có thể giảm xuống do tác dụng phụ của các liệu pháp hóa trị, xạ trị. Nếu bạn được chẩn đoán ung thư, hãy chú ý cải thiện chế độ...

